What is the Lava™ all-ceramic system?
Lava™ dental crowns are special because they are made up of a very special material, called Lava™ Premium Zirconia. It is produced by 3M, a large and innovative multi-national company with many products.
Lava™ is a porcelain material and its special composition is the key to the properties possessed by crowns made of Lava™ Zirconia.
It is very translucent like the natural tooth enamel, hence these crowns will give your teeth a very natural look.
The material also possesses excellent strength against chipping and cracking. Lava™ dental crowns are the rage in cosmetic dentistry for their esthetics and durability.
Lava™ crowns are recommended by cosmetic dentists in the following situations:
- Discolored and stained teeth: Once you get these crowns, you can forget about discoloration and staining. No need for repeated whitening.
- Crooked teeth: Crooked teeth look very bad, especially when in the front. These crowns are an excellent solution for improving the esthetics of crooked teeth.
- Root canal treated teeth: Root canal operation leaves a tooth rather weak and vulnerable because it has been hollowed out. Lava™ crowns will give your tooth strength so that it can resist the chewing forces better.
- Fractured teeth: Another befitting application of these crowns is on teeth that have got fractured or chipped for any reason. These crowns will restore, strengthen, and even improve their look and give them physical protection from further deterioration.
Official 3M™ Lava™ Esthetic Zirconia video by 3M Oral Care. Duration: 2:01.
Indications of the Lava™ system
The Lava™ system can be used for the fabrication of the following prostheses:
- Front and back dental crowns
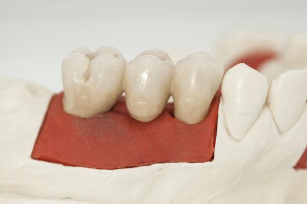
- Up to 6 unit dental bridges
- Inlays
- Onlays
- Overlays
- Implant copings
A very short case study of a patient before and after the Lava™ crown procedure. You can see how esthetic the end result is. Duration: 1:05
How does a Lava™ crown procedure look like?
Quick preparation is an important advantage of Lava™ crowns. It takes a three-step procedure to prepare the crown. It can be completed in a single visit.
- Tooth preparation: Your tooth is prepared to receive the crown. This involves trimming a very thin material from your tooth to compensate for the crown thickness. LAVA™ crowns require a relatively small amount of trimming.
- Digitized impression: A digitized impression of the teeth is taken and fed to the computer. The computer helps the dentist design a suitable crown for you. Once the shape is finalized and accepted by the dentist it is saved into the computer. This is called CAD (computer-aided design).
- Milling the crown: The shape is fed to the CAM (computer-aided manufacture) software which controls a co-located milling machine to produce your crown from a block of the LAVA™ material. The manufacturing is completed while you wait in the office.
- Checking and fitting: The dentist checks your crown for integrity and fitting. If it is considered good, the crown is cemented into place. Sometimes, your dentist may fit the crown temporarily to ensure proper seating, and the prosthesis is permanently attached in the next appointment.
What are the benefits of the Lava™ crowns?
Lava™ crowns have many advantages over other types:
- Well-matched natural look: Lava zirconia is a translucent material. Thus, light is reflected by the underlying dentine in your teeth to give them a very natural appearance, matching the color of your natural teeth. This makes Lava crowns very suitable for restoration, especially for front teeth.
- Metal-free, all-ceramic solution: These crowns are totally ceramic. Ceramic-fused-to-metal crowns often show a black line near the gum line. Lava™ crowns are free from this defect. Some people might have an allergic reaction to various metals, this is not an issue with metal-free crowns.
- Durability: The Lava™ zirconia is a very durable material produced by 3M. Crowns milled out of a single block of this zirconia possess unmatched strength against crack and chipping.
- Quick manufacture: Lava zirconia is eminently suited to in-office milling. This means a dentist’s office equipped with CAD/CAM equipment can give you a crown in one visit. The machine will mill your crown under computer control while you sit and watch TV. The crowns can be cemented immediately.
- Conserve tooth structure: When applying a crown, some material must be trimmed off the tooth surfaces to allow for the crown thickness. Lava™ crowns can be made thin because of their strength. Hence, most of the tooth structure is preserved.
- Multiple options: The Lava™ system can be used not only to manufacture all-ceramic crowns, but they are also indicated for the fabrication of ceramic inlays, onlays and overlays, bridges.
Tooth restoration with Lava™ dental crowns.

How much does a Lava™ crown cost?
Like other newer crown types - zirconia or E-max - the price of a Lava™ crown is higher than traditional (e.g. porcelain fused to metal) crowns.
Here is a rough estimate of the usual prices of Lava™ crowns in different countries. Please keep in mind that the exact price of tooth crowns depends on many factors, so you might see lower and (much) higher prices too.
- United States: $1,200 - $1,800
- United Kingdom: from £500
- Canada: $1,200 - $1,800
- Australia: $1,300 - $2,000
Need a local dentist?
You might also be interested in:
Dental Crowns Cost
The price of a dental crown depends on many factors. Read our article to find out more about what affects the cost of a dental crown.
Zirconia Crowns
Zirconia crowns are getting popular. Great durability, great esthetics, and an acceptable price.
E-max Crowns
E-max crowns are also very popular. Just like zirconia crowns, they look great, are durable, and not cheap...